Нашій пацієнтці Ірині всього 29 років. Ще будучи 6-річною дитиною, Ірина мала скарги на сильні болі в животі, періодичні приступи нудоти та блювання. Тоді, після обстежень, в неї діагностували тільки деформацію (загин) жовчного міхура, чим і пояснювали наявні симптоми. Такі приступи продовжувались до 15-річного віку, потім зникли.
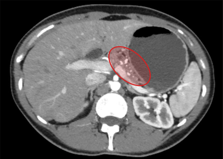
Нещодавно дівчина проходила плановий чек-ап стану здоров’я, і раптова знахідка на УЗД неабияк здивувала лікарів. Дівчину навіть намагались переконати, що каміння все ж таки знаходиться у жовчному міхурі, а не у підшлунковій залозі. Конкременти у підшлунковій залозі – вкрай рідкісний патологічний стан, утім дуже небезпечний, оскільки становить загрозу нормальному відтоку жовчі та панкреатичних соків. В результаті захворювання може спровокувати й гострий панкреатит, й механічну жовтяницю.
На щастя, Ірині вчасно порадили звернутися до нашого Центру, до відділення хірургії підшлункової залози, лапароскопічної та реконструктивної хірургії жовчовивідних проток. Хірурги відділення мають найбільший досвід виконання операцій на підшлунковій залозі в Україні. У своїй щоденній хірургічній практиці наші фахівці надають перевагу сучасним малотравматичним органозберігаючим методикам оперативних втручань у хворих з панкреатитом та його ускладненнями.

Ірина дуже зраділа, що змогла знайти лікаря, який знав що робити у подібному кейсі. Дівчині видалили небезпечні конкременти мініінвазивно, виконали лапароскопічну операцію Фрея (поздовжню панкреатоєюностомію на виключеній петлі за Roux з висіченням тканин голівки підшлункової залози, видаленням конкрементів, санацією панкреатичних проток), забезпечивши гарний косметичний ефект та швидке відновлення після втручання.
Впродовж тижня пацієнтка перебувала під наглядом лікарів, а потім у доброму стані здоров'я виписана додому.