01 грудня 2025

Аневризма аорти

photo_2025-12-01_08-50-26.jpg

До нашого Центру звернувся 78-річний Валентин Іванович, мешканець міста Світловодськ Кіровоградської області.

У місцеву лікарню він потрапив після появи різкого ниючого болю в нижній частині живота, а також в ділянці нирок й кульшових суглобів. Больові відчуття виникли раптово після прийняття гарячого душу. Під час проходження обстеження лікарі виявили аневризму черевного відділу аорти, у зв’язку з чим пацієнта було терміново направлено до Центру хірургії та трансплантології ім. О.О. Шалімова.

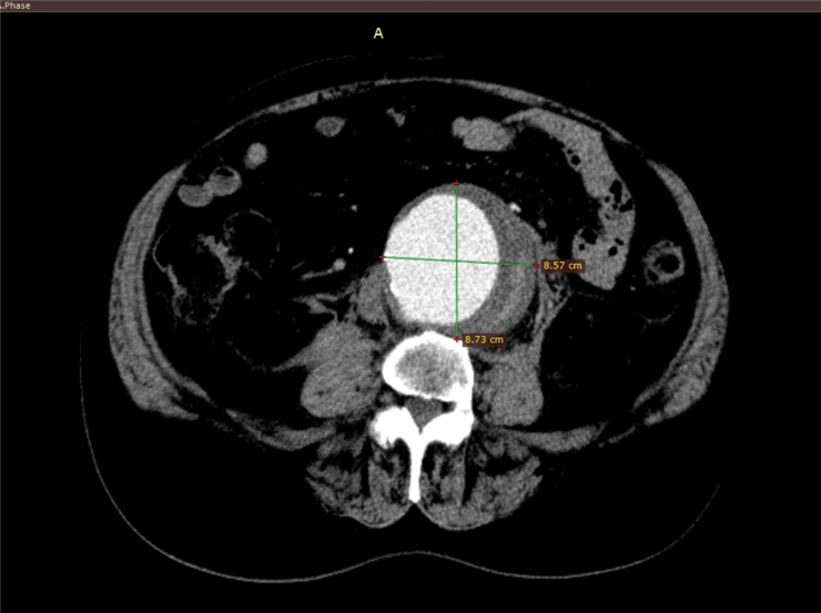
Після повторного КТ дослідження в нашому Центрі було діагностовано, що аневризма досягла критичних розмірів понад 10 см, відбувся розрив задньої стінки. Це спричинило виникнення крупної заочеревинної гематоми, що становило безпосередню загрозу життю хворого. Пацієнта було оперативно прооперовано командою судинних хірургів – виконано резекцію аневризми черевної частини аорти та лінійне алопротезування аорти.

Уже в післяопераційному періоді у пацієнта відзначалося значне покращення стану: біль у нижній частині живота та інші симптоми зникли.

Валентин Іванович дуже вдячний команді фахівців Центру та відзначив турботу й людяність усіх лікарів. Відеосюжет за посиланням https://www.instagram.com/reel/DRtcLs9Cd1n/?utm_source=ig_web_copy_link&igsh=MzRlODBiNWFlZA==

Ми цінуємо довіру кожного пацієнта та продовжуємо забезпечувати високоспеціалізовану медичну допомогу на найвищому рівні.